
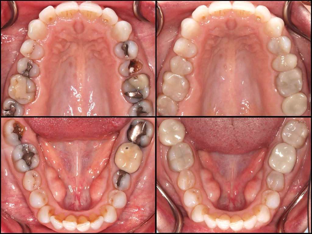
The gold crowns and the porcelain fused to metal crowns have been around for more than half a century and have proved to be reliable for a long time. There now are All Porcelain Restorations for those who want and need metal-free crowns. However, the biggest breakthrough in modern dentistry is in the space-age plastics, called dental composites.
Dental composites are made of plastic and glass bead fillers. The ones we use have no BPA. They are not new to our profession. What has changed through the years is a dramatic increase in the number of these fillers as well as the decrease in size of the particles, now known as nano-particles. These two accomplishments have led to a material that is extremely durable, long-lasting, amazingly bio-compatible, very natural looking, and most importantly, allows the biological dentist to be extremely conservative. The dental composite material and the techniques are very kind to the tooth, resulting in a dramatic decrease in the number of abscessed teeth we are seeing. As opposed to the traditional crown where the tooth is circumferentially “cut down” to allow for the lab fabrication of the crown, the dental composite techniques allow us to preserve all remaining healthy enamel in order to build and strengthen the tooth from the inside out. Now we can truly deliver on our promise to be aggressively conservative and minimally invasive.
Slide the toggle over the image to reveal before and after images.














